Nuestro enfoque es mínimamente invasivo. Buscamos preservar la mayor cantidad posible de tejido dental sano. Al imitar la forma en que la naturaleza une las capas del diente, evitamos el desgaste excesivo y mantenemos su fortaleza intrínseca.
Se busca sellar la dentina expuesta rápidamente para proteger la pulpa (el "nervio" del diente). Utilizamos sistemas adhesivos de última generación que crea una unión fuerte y duradera entre el material de restauración y tu diente. Esto reduce la posibilidad de filtraciones, sensibilidad y fracturas futuras.
Seleccionamos cuidadosamente materiales: resinas y cerámicas que lucen como un diente natural en color y translucidez, sino que también imitan sus propiedades mecánicas, resistencia a la flexión y la abrasión.
Al entender cómo los dientes se flexionan y distribuyen las fuerzas al masticar, nuestras restauraciones están diseñadas para soportar esas cargas de manera similar a como lo haría un diente intacto, minimizando el riesgo de fallas.
Contamos con un dispositivo de anestesia digital que mejora tu experiencia durante el tratamiento.
Atendemos pacientes de todas las edades: sellantes, aplicación de flúor, profilaxis dental.
Realizamos diagnóstico y tratamiento de lesiones en la mucosa bucal.
Realizamos limpiezas profundas con ultrasonido que dejan los dientes impecables, más blancos y brillantes.
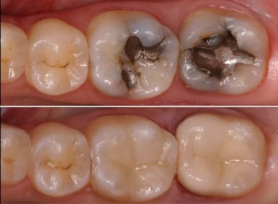
Cambiamos amalgamas por restauraciones cosméticas libres de metal y mercurio.
Realizamos tratamiento endodonticos con tecnicas especializadas
Extracciones simples y quirúrgicas.



